
CRTD Device Therapy for Advanced Heart Failure in Agra
CRTD Device: A Lifesaving Breakthrough for Heart Failure Patients at Agra Heart Centre
Agra Heart Centre and Multispecialty Hospital, the top-ranked cardiac hospital in Agra, continues to lead the way in advanced cardiac care and lifesaving innovations. Among its many milestones, the hospital has established itself as the only cardiac institute in Agra routinely performing Cardiac Resynchronization Therapy with Defibrillator (CRTD) device implantations for patients suffering from advanced heart failure and low ejection fraction (EF).
Under the expert leadership of Dr. Rajat Rawat and Dr. C.R. Rawat, two of the best cardiologists in Agra, Agra Heart Centre has become a beacon of hope for heart failure patients across Agra, Etah, Hathras, Mainpuri, Firozabad, and nearby regions.
Understanding Heart Failure and Low Ejection Fraction
Heart failure occurs when the heart muscle becomes too weak or stiff to pump blood effectively. This condition is often accompanied by a low ejection fraction (EF) — a measure of how much blood the left ventricle pumps out with each contraction.
A normal ejection fraction is around 55–70%, but in heart failure patients, it can fall below 35%, indicating severely reduced heart function.
Common symptoms of heart failure include:
- Shortness of breath (especially while lying down or during exertion)
- Swelling in legs, feet, or abdomen
- Fatigue and weakness
- Irregular or rapid heartbeat
- Persistent cough or wheezing
- Difficulty performing routine activities
When medicines and lifestyle changes are no longer enough, device-based therapies like CRTD implantation become essential to restore the heart’s rhythm and improve its pumping efficiency.
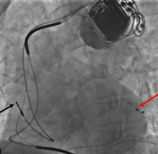
What is a CRTD Device?
A CRTD (Cardiac Resynchronization Therapy with Defibrillator) is a small, battery-powered device implanted under the skin near the chest that helps the heart beat more efficiently. It performs two main functions:
- Cardiac Resynchronization Therapy (CRT):
The CRT component coordinates the contractions of the left and right ventricles using tiny electrical impulses, allowing the heart to pump blood more effectively. - Implantable Cardioverter Defibrillator (ICD):
The ICD function monitors the heart rhythm continuously and delivers a life-saving shock if it detects a dangerously fast or irregular rhythm, preventing sudden cardiac death.
CRTD therapy is particularly beneficial for patients with:
- Low ejection fraction (below 35%)
- Left Bundle Branch Block (LBBB) — a conduction delay that leads to dyssynchronous heart contractions
- Advanced heart failure (NYHA Class III or IV)
- Refractory symptoms despite optimal medical therapy
Agra Heart Centre – The Pioneer in CRTD Implantation in Agra
When it comes to advanced heart failure treatment in Agra, Agra Heart Centre stands unmatched. The hospital has achieved recognition as the only cardiac institute in Agra performing routine CRTD implantation surgeries with consistent success.
Leadership and Expertise
- Dr. C.R. Rawat, a veteran cardiologist with decades of experience, is widely respected as one of the best heart specialists in Agra. He was the first cardiologist in Agra to successfully perform a CRTD implantation, introducing this cutting-edge therapy to the region.
He also serves as:- President, Agra Chapter of the Indian Academy of Echocardiography
- President, UP Chapter of the Indian Society of Cardiology
- President, Research Society for the Study of Hypertension in India
- Dr. Rajat Rawat, an internationally trained interventional cardiologist, has performed the most successful CRTD implantations in Agra and Uttar Pradesh.
He completed his prestigious fellowship in Complex Coronary and Structural Heart Interventions from Freeman Hospital, Newcastle Upon Tyne, England — one of the UK’s leading cardiac centers.
Together, Dr. Rajat Rawat and Dr. C.R. Rawat have made Agra Heart Centre a regional hub for advanced device-based therapies such as CRTD, pacemaker, ICD, and CRT-P.
Why CRTD Implantation is a Game-Changer for Heart Failure Patients
Patients with heart failure and low ejection fraction often experience debilitating symptoms and limited quality of life. Traditional medications can slow disease progression but may not fully restore the heart’s coordination.
That’s where CRTD makes a revolutionary difference.
Key Benefits of CRTD Implantation:
- Improved Heart Efficiency:
CRTD helps synchronize the pumping of both ventricles, leading to a stronger and more coordinated heartbeat. - Reduced Heart Failure Symptoms:
Patients experience less fatigue, breathlessness, and swelling after successful CRTD therapy. - Lower Risk of Sudden Cardiac Death:
The defibrillator component prevents life-threatening arrhythmias, offering an additional safety net. - Better Quality of Life and Survival:
Clinical studies have shown significant improvement in survival rates and daily functioning in patients treated with CRTD. - Fewer Hospitalizations:
Effective resynchronization reduces the frequency of hospital visits for heart failure-related complications.
Dr. Rajat Rawat and Dr. C.R. Rawat – The Best Cardiologists in Agra for CRTD
The success of a CRTD implantation depends heavily on expertise, precision, and follow-up care.
At Agra Heart Centre, both Dr. Rajat Rawat and Dr. C.R. Rawat bring exceptional skill and dedication to each procedure.
Their combined approach includes:
- Thorough pre-implant evaluation using advanced echocardiography and angiography
- Accurate lead placement guided by high-resolution imaging
- Continuous post-procedure monitoring and optimization of device settings
- Comprehensive rehabilitation and follow-up programs to maximize patient outcomes
Agra Heart Centre also uses state-of-the-art equipment for diagnostic support — including ECHO, TMT, ECG, Holter, Angiography, and Angioplasty facilities — ensuring complete cardiac evaluation under one roof.
Facilities and Infrastructure at Agra Heart Centre
Agra Heart Centre and Multispecialty Hospital is a Times Group–ranked institution:
- Rank 1 Cardiac Hospital in Agra for 30 consecutive years
- Ranked 15th Best Cardiac Hospital in India
Comprehensive Cardiac Facilities Include:
- Angiography and Angioplasty (Stenting)
- Pacemaker and CRTD Implantation
- ICD and CRT-P Implantation
- TAVI (Transcatheter Aortic Valve Implantation)
- MitraClip and Structural Heart Procedures
- Echocardiography (ECHO), TMT, ECG, and Holter Monitoring
- Sleep Apnea (OSA) Diagnosis and CPAP/BiPAP Therapy
- Intensive Cardiac Care Unit (ICCU) and Ventilator Support
- Private Rooms, HDU, and Emergency Heart Attack Management Unit
With these facilities, Agra Heart Centre remains the most advanced and trusted heart hospital in the entire Agra region and beyond.
When Should You Consider CRTD Therapy?
You may be a candidate for CRTD if:
- You have heart failure with EF below 35%
- You have LBBB or other conduction abnormalities on ECG
- You are already on optimal medical therapy but symptoms persist
- You experience recurrent hospitalizations for heart failure
- You have a high risk of arrhythmia or sudden cardiac arrest
If these symptoms apply, consulting Dr. Rajat Rawat or Dr. C.R. Rawat at Agra Heart Centre could be life-changing.
Patient Success Stories
Many patients who were once unable to walk a few steps without breathlessness have regained normal lives after CRTD therapy at Agra Heart Centre.
With the guidance of Dr. Rajat Rawat and Dr. C.R. Rawat, patients report remarkable improvements in energy levels, exercise tolerance, and longevity.
Their success reinforces one fact: expert hands and timely intervention save lives.
Contact Information – Agra Heart Centre and Multispecialty Hospital
📍 Address:
Agra Heart Centre and Multispecialty Hospital
5, Church Road, Civil Lines, Ram Nagar Colony, Agra – 282002
📞 Phone Numbers:
7830000618, 0562-2850356
🌐 Website: (User can provide actual site URL if available)
🕐 Timings:
Open 24×7 | Emergency Heart Care Available Day and Night
Conclusion
Heart failure and low ejection fraction are serious conditions, but with modern advancements like CRTD therapy, life can be restored to normalcy.
Thanks to the pioneering efforts of Dr. Rajat Rawat and Dr. C.R. Rawat, Agra Heart Centre remains at the forefront of advanced cardiac care, delivering hope, healing, and world-class expertise to every heart in need.
If you or your loved one suffers from heart failure, consult the best cardiologists in Agra at Agra Heart Centre — where every heartbeat matters.


Other Links: https://www.youtube.com/watch?v=3SrwSTpsOYs&t=4s
Internal Links: https://www.agraheartcentre.com/crt-d-crt-p-heart-failure-device-therapy-in-agra/